MUG营养琼脂培养基(100g)/用于滤膜法检测生活饮用水及其水源水中大肠埃希氏菌
-
营养琼脂
WJ6425-1 | 见证书
-
A-1培养基/用于水中粪大肠菌群检测
HB0152 | 见证书
-
A-1培养基/用于水中粪大肠菌群检测
HB0152 | 详见说明
-
肌醇(GB105)
GB105 | 详见说明
-
MUG营养琼脂培养基(100g)/用于滤膜法检测生活饮用水及其水源水中大肠埃希氏菌(GB标准)
HB8558-1 | 见证书
-
EG培养基
BNCC390931 | 见详情
-
水螺菌
BNCC336876 | 见详情
-
MH液体试管
BNCC391763 | 见详情
-
中国蓝培养基即用型平板
BNCC391618 | 见详情
-
肉汤培养基G(麦康凯肉汤)
BNCC391158 | 见详情
-
EG肉汤培养基
BNCC390941 | 见详情
-
蛋白瘤胃球菌培养基基础(含纤维二糖)
BNCC389132 | 见详情



用途:用于滤膜法检测生活饮用水及其水源水中大肠埃希氏菌(GB标准)。
保存条件:2-8℃,保质期三年
成分(g/L)
检验原理:
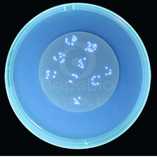
蛋白胨和牛肉浸粉提供氮源、维生素、氨基酸和碳源;琼脂是培养基的凝固剂;大肠埃希氏杆菌含有的葡萄糖醛酸苷酶作用于4-甲基伞形酮-β-D 葡萄糖醛酸苷(4-Methylumbellifery-β-D-Glucuronide 简称MUG)的β糖醛酸苷键,使其水解,释放的4-甲基伞形酮在366nm 紫外灯下产生蓝白色荧光。97%的大肠埃希氏杆菌、10%的沙门氏菌以及少量的志贺氏菌具有葡萄糖醛酸苷酶。
用法:
称取本品23.1g,加热搅拌溶解于1000ml蒸馏水中,121℃高压灭菌15分钟,备用。倾倒好的平板在4℃时可保存两周。
NA-MUG培养基微生物质控结果:
大肠埃希氏菌CMCC(B)44102
有荧光
大肠埃希氏菌ATCC25922
有荧光
大肠埃希氏菌ATCC8739
有荧光
鼠伤寒沙门氏菌ATCC14028
无荧光
MUG营养琼脂培养基微生物灵敏度试验:
按标签用法制备培养基,接种以下质控菌株,放置36±1℃需氧培养24-48小时。
注:回收率计算时,用TSA琼脂做对照培养基。
以上信息仅供参考,请以实物批次为准!
本公司销售的所有产品仅供实验科研使用,不用于人体及临床诊断。
2. 滤膜无菌操作转移至培养基;
3. 培养后观察荧光(365nm紫外灯照射)。
以上信息仅供参考,请以相应标准的原文为准!