跳至内容
AI采购助手
Listeria monocytogenes
图片仅供参考,具体产品以实物为准!

Listeria monocytogenes

CICC 21639
¥ 1200.0
¥ 1200.0
见证书
CICC
见证书
+
0
单核增生李斯特氏菌 Listeria monocytogenes CICC 21639介绍:

  • 平台资源号:1511C0005000006606
  • 菌株保藏编号:CICC 21639
  • 中文名称:单核增生李斯特氏菌
  • 拉丁名称:Listeria monocytogenes
  • 曾用名:单增李斯特氏菌
  • 模式菌株: 否
  • 来源历史:←中国检验检疫科学研究院(22224)←内蒙古出入境检验检疫局
  • 收藏时间:2008-01-05
  • 原始编号:54004
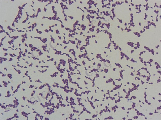
  • 特征特性:G+短棒状小杆菌,有动力,过氧化氢酶阳性,血平板上产生β-溶血;硝酸盐还原实验阴性,尿素酶试验阴性,不发酵木糖、甘露醇;甲基红反应阳性,伏-普实验阳性,发酵葡萄糖、麦芽糖、七叶苷、鼠李糖;三糖铁试验产酸、不产硫化氢;兼性厌氧,最适pH7.4~7.6。
  • 参考用途:研究、质量控制
  • 生物危害程度:三类
  • 致病对象:人畜共患
  • 致病名称:脑膜炎等
  • 传播途径:经口、消化道

说明书下载: 菌种说明书    打管说明书
单核增生李斯特氏菌 Listeria monocytogenes CICC 21639培养条件:

  • 培养基:0217 脑心琼脂(Brain Heart Infusion)
  • 牛心浸粉5.0 g
    牛脑浸粉12.5 g
    䏡胨(Proteose Peptone)10.0 g
    葡萄糖2.0 g
    NaCl5.0 g
    Na2HPO42.5 g
    琼脂15.0 g
    蒸馏水1000.0 mL
    pH7.4

    以上成分121℃,灭菌15 min。液体培养基不加琼脂。推荐使用成品BHI培养基。
  • 培养温度:37 ℃
  • 需氧类型:好氧
单核增生李斯特氏菌 Listeria monocytogenes CICC 21639参考文献:


    您正在浏览的产品:单核增生李斯特氏菌 Listeria monocytogenes CICC 21639

    手机版:单核增生李斯特氏菌 Listeria monocytogenes CICC 21639

    本公司销售的所有产品仅供实验科研使用,不用于人体及临床诊断。

    暂无标准解读内容