芽孢杆菌培养基/用于芽孢杆菌平板计数
-
检测培养基/用于凝结芽孢杆菌计数和培养
HB9258 | 见证书
-
淡薄培养基/用于芽孢杆菌的产芽孢培养
HB9275 | 见证书
-
双歧杆菌液体培养基
BNCC372504 | 见详情
-
麦芽汁培养基
BNCC373762 | 见详情
-
糠秕孢子菌培养基
BNCC376045 | 见详情
-
根瘤菌培养基
BNCC380913 | 见详情
-
芽孢杆菌
BNCC221996 | 见详情
-
MH液体试管
BNCC391763 | 见详情
-
中国蓝培养基即用型平板
BNCC391618 | 见详情
-
肉汤培养基G(麦康凯肉汤)
BNCC391158 | 见详情
-
EG肉汤培养基
BNCC390941 | 见详情
-
蛋白瘤胃球菌培养基基础(含纤维二糖)
BNCC389132 | 见详情



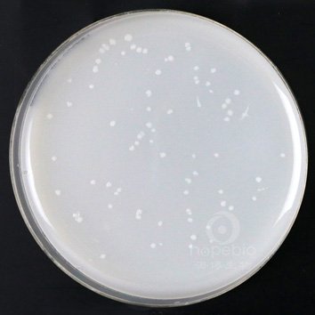
用途:用于芽孢杆菌平板计数。
成分(g/L)
检验原理:
葡萄糖为细菌生长提供碳源;氯化钾维持均衡的渗透压;硫酸铵为细菌生长提供氮源;磷酸钙有利于促进细菌芽孢的快速生成,硫酸锰为细菌菌体生长以及芽孢生成所需的微量元素。
用法:
称取本品36.3g,加热溶解于1000ml蒸馏水中,分装,121℃高压灭菌30分钟,备用。
注:培养基中含不溶性磷酸钙,有白色沉淀,摇匀倒平板即可。
芽孢杆菌培养基上细菌的生长特征:
蜡样芽胞杆菌CMCC(B)63303
白色小菌落
枯草芽胞杆菌CMCC(B)63501
白色小菌落
按标签用法制备培养基,接种以下质控菌株,放置36±1℃需氧培养48-72小时。 注:回收率计算时,用TSA琼脂做对照培养基。
以上信息仅供参考,请以实物批次为准!
本公司销售的所有产品仅供实验科研使用,不用于人体及临床诊断。
以上信息仅供参考,请以相应标准的原文为准!